Σαντορίνη: Υπερανθεκτικά μικρόβια εντοπίστηκαν στο υποθαλάσσιο ηφαίστειο του Κολούμπου
Υπάρχει ζωή στα βαθύτερα στρώματα ενός ενεργού υποθαλάσσιου ηφαιστείου; Και αν ναι, πόσο πολύπλοκη μπορεί να είναι;
Ένα ιδανικό μοντέλο για την αντιμετώπιση των συγκεκριμένων ερευνητικών ερωτημάτων αποτελεί το ηφαιστειακό σύμπλεγμα της Σαντορίνης-Κολούμπου. Εκεί εντοπίστηκαν μικρόβια σε πολύ υψηλές θερμοκρασίες ανοίγοντας προοπτικές ακόμα και στην κατανόηση πιθανών μορφών ζωής σε άλλους πλανήτες.
Τα υποθαλάσσια ηφαίστεια που χαρακτηρίζονται από την παρουσία υδροθερμικών πεδίων, συγκαταλέγονται στα πιο ενδιαφέροντα για την πραγματοποίηση μελετών σχετικών με τα όρια της ζωής στη Γη. Δεδομένου ότι οι θερμοκρασίες στα βαθύτερα στρώματα ενός υποθαλάσσιου ηφαιστείου αυξάνονται σημαντικά σε σχέση με την επιφάνεια αναρωτιόμαστε κατά πόσο είναι εφικτή η ύπαρξη μικροoργανισμών σε τόσο υψηλές θερμοκρασίες.
Απάντηση σε αυτά τα ερωτήματα δόθηκε με πρόσφατη έρευνα του Ινστιτούτου Θαλάσσιας Βιολογίας, Βιοτεχνολογίας και Υδατοκαλλιεργειών του Ελληνικού Κέντρου Θαλασσίων Ερευνών (ΕΛΚΕΘΕ) σε συνεργασία με το Τμήμα Γεωλογίας και Γεωπεριβάλλοντος του Εθνικού Καποδιστριακού Πανεπιστημίου Αθηνών.

Στην έρευνα, που δημοσιεύθηκε στο επιστημονικό περιοδικό «Frontiers in Microbiology», παρουσιάζονται για πρώτη φορά στοιχεία για τους μικροοργανισμούς που ζουν στα βαθύτερα στρώματα κάτω από τον πυθμένα του ηφαιστειακού συμπλέγματος Σαντορίνης-Κολούμπου. Ο Κολούμπος είναι ένα υποθαλάσσιο ενεργό ηφαίστειο σε απόσταση εξίμισι χιλιομέτρων βορειοανατολικά της Σαντορίνης.
Στην έρευνα συμμετείχαν επίσης επιστήμονες από το ερευνητικό κέντρο «GEOMAR Helmholtz Centre for Ocean Research Kiel» της Γερμανίας, το Πανεπιστήμιο της Οτάβας στον Καναδά και το Πανεπιστήμιο του Κιέλου στη Γερμανία.
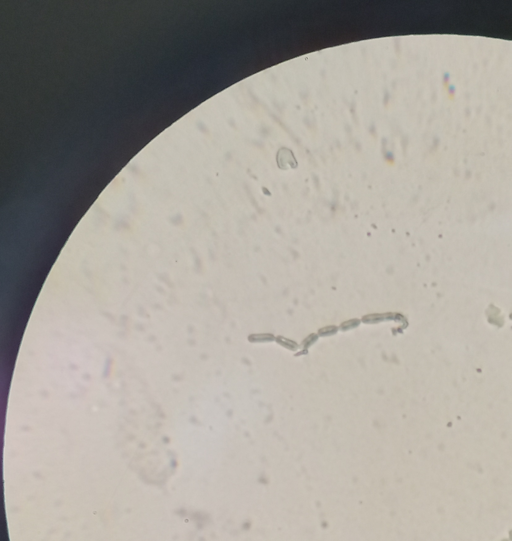
Στο πλαίσιο της αποστολής POS510 της GEOMAR που πραγματοποιήθηκε στην καλντέρα της Σαντορίνης και στο υποθαλάσσιο ηφαίστειο Κολούμπο το 2017 με το ερευνητικό πλοίο Poseidon, συλλέχθηκε για πρώτη φορά μικροβιακό υλικό σε βάθος μέχρι και τρία μέτρα κάτω από τον πυθμένα του ηφαιστειακού συμπλέγματος με τη χρήση ειδικών δειγματοληπτών. Τα δείγματα μεταφέρθηκαν στο εργαστήριο Περιβαλλοντικής Μικροβιολογίας του ΕΛΚΕΘΕ στο Ηράκλειο Κρήτης, όπου πραγματοποιήθηκαν αναλύσεις της ποικιλότητας των μικροοργανισμών με τεχνολογίες αλληλούχησης νέας γενιάς που διαθέτει το Ινστιτούτο Θαλάσσιας Βιολογίας, Βιοτεχνολογίας και Υδατοκαλλιεργειών.

Κατά την ανάλυση, οι ερευνητές εντόπισαν πάνω από 10.000 διαφορετικά μικροβιακά είδη και η ποικιλότητα των μικροοργανισμών παρέμενε υψηλή ακόμα και τρία μέτρα κάτω από την επιφάνεια του πυθμένα. Είναι αξιοσημείωτο ότι εντοπίστηκαν γύρω στα 60 διαφορετικά μικροβιακά είδη σε δείγμα βάθους 1,7 μέτρων, όπου η θερμοκρασία προσέγγιζε τους 99oC. Οι ακραιόφιλοι μικροοργανισμοί μπορεί να αγαπούν ή να ανέχονται ακραίες συνθήκες, όπως είναι αυτές που επικρατούν στο ενεργό υποθαλάσσιο ηφαίστειο Κολούμπος και να αναπτύσσουν μηχανισμούς που τους προσδίδουν ανθεκτικότητα σε ένα μεγάλο εύρος στρεσογόνων παραγόντων.
«Με την έρευνα που πραγματοποιούμε εντατικά στην περιοχή από το 2011, έχουμε αποκαλύψει μια εντυπωσιακή μικροβιακή ποικιλότητα και έχουμε καταγράψει έναν εντυπωσιακό αριθμό γονιδίων και μικροοργανισμών που συνδέονται με τη γεωλογία του ηφαιστειακού συμπλέγματος. Τα συγκεκριμένα περιβάλλοντα είναι ιδιαίτερα σημαντικά από μικροβιολογικής άποψης, καθώς ανοίγουν προοπτικές στον τομέα της βιοτεχνολογίας, αλλά και στην κατανόηση πιθανών μορφών ζωής σε άλλους πλανήτες. Παρόλα αυτά, για πρώτη φορά εξερευνήσαμε και τους μικροοργανισμούς του υποστρώματος, δηλαδή αυτούς που ζουν κάτω από τον πυθμένα. Η ποικιλότητα που αποκαλύφθηκε είναι εντυπωσιακή ακόμα και στα βαθύτερα στρώματα, κάτι το οποίο δεν περιμέναμε λόγω των ιδιαίτερα ακραίων συνθηκών που επικρατούν», εξηγεί στο ΑΠΕ-ΜΠΕ η επιστημονική υπεύθυνη του έργου και ερευνήτρια του Ινστιτούτου Θαλάσσιας Βιολογίας, Βιοτεχνολογίας και Υδατοκαλλιεργειών του ΕΛΚΕΘΕ, Παρασκευή Πολυμενάκου.
Η ερευνητική ομάδα προχώρησε και ένα βήμα παραπέρα, καθώς κατάφερε και απομόνωσε μικροοργανισμό από το ηφαίστειο Κολούμπος που ζει και αναπτύσσεται στους 99oC. Ο συγκεκριμένος υπερθερμόφιλος μικροοργανισμός, η ανάλυση του οποίου έδειξε ότι ανήκει στο γένος Bacillus, απομονώθηκε από δείγμα της αποστολής POS510 και αναπτυσσόταν ταχύτατα σε θερμοκρασίες από 45 έως και 99oC. Η απομόνωση πραγματοποιήθηκε στο πλαίσιο της μεταπτυχιακής διατριβής της Ελευθερίας Ζάκα στο ΕΛΚΕΘΕ. Οι ερευνητές θα προχωρήσουν σε ανάλυση του πλήρους γονιδιώματος του συγκεκριμένου βακτηρίου, ενώ θα πραγματοποιήσουν και πειράματα για να εντοπίσουν τις μέγιστες θερμοκρασίες στις οποίες μπορεί να αναπτύσσεται και να επιβιώνει.

Η υψηλή ποικιλότητα που εντοπίστηκε στα δείγματα της αποστολής καταδεικνύει ότι τα στρώματα κάτω από τον πυθμένα (υποεπιφανειακά) του ηφαιστειακού συμπλέγματος Σαντορίνης-Κολούμπο αποτελούν έναν μικροβιακό παράδεισο. Ένα επιπλέον ερώτημα που προκύπτει είναι τι συμβαίνει στα ακόμα βαθύτερα στρώματα, μέχρι και 700 μέτρα κάτω από τον πυθμένα. Εκεί, στο πλαίσιο πρόσφατης διεθνούς ωκεανογραφικής αποστολής του International Ocean Discovery Programme (IODP), της μεγαλύτερης στον ελλαδικό χώρο που διεξήγε υποθαλάσσιες ερευνητικές γεωτρήσεις, συλλέχθηκε πολύτιμο υλικό που αναλύεται για την παρουσία μικροοργανισμών αυτή την περίοδο. Η υποψήφια διδάκτορας του Τμήματος Γεωλογίας και Γεωπεριβάλλοντος του ΕΚΠΑ, Βασιλική Παπαδημητρίου, έχει απομονώσει μέχρι στιγμής υψηλής ποιότητας γενετικό υλικό από δείγμα βάθους 575 μέτρων κάτω από τον πυθμένα και μέσα στο καλοκαίρι θα πραγματοποιηθεί μεταγονιδιωματική ανάλυση του υλικού αυτού, «ώστε να φέρουμε στο φως τα είδη των μικροοργανισμών που ζούσαν καθώς και τι μηχανισμούς διέθεταν, μερικά εκατομμύρια χρόνια πριν», όπως επισημαίνει η κ. Πολυμενάκου.
Η αναπληρώτρια καθηγήτρια του Τμήματος Γεωλογίας και Γεωπεριβάλλοντος του Πανεπιστημίου Αθηνών, Εύη Νομικού, η οποία ηγείται της ερευνητικής ομάδας του SANTORY που μελετάει το ηφαίστειο εντατικά από το 2006, εξηγεί στο ΑΠΕ-ΜΠΕ ότι «τα υποθαλάσσια ηφαίστεια μικρού βάθους, όπως ο Κολούμπος, έχουν πολύπλοκη γεωλογία και η έρευνα των υδροθερμικών τους συστημάτων είναι ακόμα σε πρώιμο στάδιο. Αυτά τα ρηχά υποθαλάσσια, υψηλής ενέργειας, υδροθερμικά συστήματα συνδέονται με σημαντική και δυνητικά επικίνδυνη ηφαιστειακή δραστηριότητα, αλλά αποτελούν και μια μικροβιακή όαση φιλοξενώντας υπερανθεκτικούς μικροοργανισμούς υψηλής ποικιλότητας με έντονο βιοτεχνολογικό ενδιαφέρον». Η κ. Νομικού προσθέτει ότι «για πρώτη φορά στη Μεσόγειο δημιουργήθηκε το ρηχό υποθαλάσσιο ηφαιστειακό παρατηρητήριο SANTORY στον κρατήρα του Κολούμπο με χρηματοδότηση από το Ελληνικό Ίδρυμα Έρευνας και Καινοτομίας, αλλά και με τη συμβολή και την οικονομική στήριξη του δήμου Θήρας. Ο Κολούμπος αποτελεί ένα πρότυπο εξωγήινου ωκεανού και έχει μελετηθεί και από την NASA το 2019. Είναι ένα φυσικό εργαστήριο με διεπιστημονικό χαρακτήρα, ενώ η παρακολούθησή του είναι αναγκαία για την κατανόηση της επικινδυνότητάς του».

Πιο Δημοφιλή
Ο Μητσοτάκης ως ιδεολογικό υβρίδιο νεοφιλελευθερισμού και οικογενειοκρατίας
12 τόνους ακατάλληλα προϊόντα ετοιμάζονταν να ρίξουν στην αγορά στις εορτές
Ηγέτη όπως ο Καποδίστριας χρειάζεται ο Ελληνισμός
Η κυβέρνηση ως θεατής στον εποικισμό της χώρας
Πιο Πρόσφατα
Τροχαίο με τραυματίες και εγκατάλειψη στην ανατολική Θεσσαλονίκη
Γιορτινό ταμείο με μέτρο: Πάνω από 200 ευρώ ανά καταναλωτή τα Χριστούγεννα
Ο Αλαντίν στο Μέγαρο Μουσικής Αθηνών μέχρι τις 11 Ιανουαρίου 2026